کد خبر: 169830
A

زن آمریکایی در هر دو رحم خود باردار شد

پزشکان می‌گویند یک زن ۳۲ ساله اهل آلاباما در آمریکا که یک جفت رحم در بدن دارد، در هر دوی آنها باردار شده است. این پدیده به حدی نادر است که تقریبا تمامی متخصصان زنان و زایمان در طول حرفه طبابت خود با چنین موردی روبرو نمی‌شوند

زن آمریکایی در هر دو رحم خود باردار شد

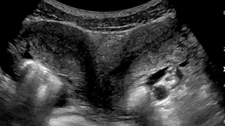
به گزارش سایت دیده بان ایران؛ پزشکان می‌گویند یک زن ۳۲ ساله اهل آلاباما در آمریکا که یک جفت رحم در بدن دارد، در هر دوی آنها باردار شده است. این پدیده به حدی نادر است که تقریبا تمامی متخصصان زنان و زایمان در طول حرفه طبابت خود با چنین موردی روبرو نمی‌شوند.«کلسی هچر» می‌گوید از ۱۷ سالگی می‌دانسته مبتلا به یک بیماری نادر به نام «رحم دیدلفیس» است که در آن فرد دارای رحمی دوگانه است. تصور می‌شود که تنها حدود ۰.۳ درصد از زنان با دو رحم به دنیا می‌آیند.خانم هچر از بارداری خود مطلع بود، اما نمی‌دانست که وضعیت جنین‌اش چگونه است. تا اینکه پزشکان در معاینات معمول ویژه هشت هفتگی بارداری متوجه شدند او نه تنها دو فرزند به دنیا می‌آورد، بلکه دریافتند هر کدام از این دوقلوها نیز در یکی از رحم‌ها قرار دارند.

خانم هچر از بارداری خود مطلع بود، اما نمی‌دانست که وضعیت جنین‌اش چگونه است. تا اینکه پزشکان در معاینات معمول ویژه هشت هفتگی بارداری متوجه شدند او نه تنها دو فرزند به دنیا می‌آورد، بلکه دریافتند هر کدام از این دوقلوها نیز در یکی از رحم‌ها قرار دارند.

او که هم‌اکنون مادر ۳ فرزند است در یک پست اینستاگرامی درباره جلسه سونوگرافی خود نوشت: «ما حیرت‌زده شده بودیم!»

شوتا پاتل، متخصص در در مرکز زنان و نوزادان بیرمنگام آلاباما، در این باره گفت: «به احتمال زیاد اتفاقی که افتاده این است که او به طور جداگانه تخمک‌گذاری کرده است و سپس اسپرم در هر رحم جداگانه حرکت کرده و لقاح به طور جداگانه اتفاق افتاده است.»

وی با بیان اینکه این موردی «بسیار بسیار نادر» است، گفت: ««پزشکان زنان و زایمان تمام حرفه خود را بدون دیدن چنین چیزی می‌گذرانند.»

اگرچه زنان دارای رحم دوتایی اغلب با عوارض ناشی از بارداری روبرو هستند، اما هر سه فرزند قبلی خانم هچر سالم به دنیا آمدند. 

وی در این باره گفت: «همیشه به من گفته‌اند که اگر بتوانم باردار شوم، احتمالاً زایمان زودرس یا سقط جنین خواهم داشت. خب، من ۳ نوزاد کامل را به دنیا آورده‌ام که دو تای آنها تا ۴۱ هفتگی در شکمم‌ بودند. خدا را شکر می‌کنم که در این زمینه شانس داشتم.»

مطالعات نشان می‌دهند که سندروم رحم دوتایی در مرحله رشد جنین اتفاق می‌افتد. معمولاً در طول رشد جنین، رحم از اتصال دو مجرا به نام «مولرین» تشکیل می‌شود و ترکیب این دو یک رحم واحد را می‌سازد. با این حال در برخی موارد بسیار نادر این اتصال اتفاق نمی‌افتد و افراد مبتلا دارای دو رحم می‌شوند. این افراد ممکن است خودشان خبر نداشته باشند که صاحب دو رحم هستند.

حاملگی در هر دو رحم نیز پدیده‌ای بسیار نادر به شمار می‌رود و احتمال آن ۱ در ۵۰ میلیون تخمین زده شده است. آخرین مورد شناخته‌شده از چنین پدیده‌ای در بنگلادش و در سال ۲۰۱۹ رخ داد که در آن زمان «عریفه سلطانا»، ۲۰ ساله، دوقلوهای سالمی به فاصله ۲۶ روز به دنیا آورد.

او که اولین فرزند خود را در فوریه آن سال به دنیا آورده بود نمی‌دانست جنین دیگری نیز در شکم دارد، اما ۲۵ روز بعد از زایمان اول وقتی به دلیل درد معده به بیمارستان منتقل شد متوجه شد هنوز باردار است.

خانم هچر گفته امیدوار است که زایمان طبیعی داشته باشد و نوزاد ۱ و ۲ یا همان دختر بچه‌ها را در موعد مقرر در حوالی کریسمس به دنیا بیاورد.

گفته می‌شود که هر دو جنین در بدن مادر رشد خوبی داشته‌اند، با این حال به هنگام فرارسیدن زمان زایمان و منقبض شدن رحم‌ ممکن است تولد‌ها به فاصله چند دقیقه، چند ساعت، چند روز و یا حتی چند هفته از هم اتفاق بیافتند و احتمال دارد احتیاج به عمل سزارین باشد.

کسانی که دارای رحم دوتایی هستند به دلیل ریسک‌های موجود هنگام زایمان نیاز به مراقبت ویژه دارند. خانم هچر می‌گوید پزشکان مورد او را «بارداری کم‌خطر» اما «زایمان پرخطر» دانسته‌اند.

منبع: یورونیوز

 

کانال رسمی دیدبان ایران در تلگرام

اخبار مرتبط

ارسال نظر