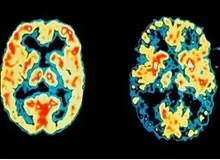
محققان ایتالیایی دریافتند که افراد دو زبانه در آزمونهای حافظه در مقایسه با افرادی که به یکزبان صحبت میکنند بهتر عمل میکنند.
۶۰۸ مطلب
محققان ایتالیایی دریافتند که افراد دو زبانه در آزمونهای حافظه در مقایسه با افرادی که به یکزبان صحبت میکنند بهتر عمل میکنند.
نامزدهای بخش سودای سیمرغ سی و چهارمین جشنواره فیلم فجر اعلام شد.
مجتبی عابدینی با شکست لوکا کوراتلی سابریست ایتالیایی و تنها نماینده میزبان به جمع ۴ بازیکن برتر جام جهانی پادووای ایتالیا رسید و مدال برنزش در جام جهانی پادووای ایتالیا قطعی شد.
صندوق کودکان سازمان ملل متحد (یونیسف) از کشته شدن بالغ بر ۱۹۰ پناهجوی کودک در مسیر دریایی لیبی به ایتالیا طی سه ماه گذشته خبر داد.
اروپا در ماه جاری بیشترین حجم نفت را از ایران در ۵ سال اخیر دریافت میکند؛ نشانهای که از بازگشت مجدد سهم از دسترفته بازار به این کشور به علت اعمال تحریمهای پیشین حکایت دارد.
رئیس جمهور در پیامی به «پائولو جنتیلونی»، انتصاب وی را به عنوان نخست وزیر ایتالیا تبریک گفت و ابراز امیدواری کرد در پرتو اراده سیاسی و اهتمام جدی مقامات دو کشور، پیوندها و روابط موجود بیش از پیش در جهت منافع متقابل توسعه یابد.
سایت فدراسیون جهانی شمشیربازی در صفحه اول سایت خود خبر فوت الماسی رئیس سابق فدراسیون شمشیربازی و کنفدراسیون شمشیربازی آسیا را درج کرد.
منابع امنیتی در خبری فوری اعلام کردند که عامل حمله برلین در تیراندازی در میلان ایتالیا کشته شده است.
آنطور که رویترز از مقامات وزارت دادگستری آمریکا نقل کرده، آقای زانگ با ۳ ایرانی و یک آمریکایی دیگر برای تبدیل پولهای ایران در حسابی در یکی از بانکهای کره جنوبی و انتقال آن، تلاش کرده است.
کناره گیری «اولاند»از رقابت ها و اوج گیری «لوپن»، همراه با بروز رویدادهای مشابهی در آلمان و ایتالیا این احتمال را شکل می دهند که کشورهای قاره سبز نیز شاهد بروز پدیده هایی همچون ترامپ باشند.