آیتاللّه نوری همدانی در پیامی گفت: بر مسئولان لازم است با تفکیک بین معترضان و اغتشاشگران به خواسته معترضان توجه و مشکلات آنها را حل نمایند.
۷۵۳ مطلب
آیتاللّه نوری همدانی در پیامی گفت: بر مسئولان لازم است با تفکیک بین معترضان و اغتشاشگران به خواسته معترضان توجه و مشکلات آنها را حل نمایند.
روزنامه وال استریت ژورنال به نقل از مقامات سعودی و آمریکایی مدعی شد عربستان سعودی اطلاعاتی درباره یک حمله قریب الوقوع از جانب ایران به اهدافی در خاک عربستان را با ایالات متحده به اشتراک گذاشته است.
در ادامه برخی اقدامات فرهنگی عربستان سعودی، جشن هالووین در پایتخت این کشور برگزار شد.
تصاویر ماهوارهای جدید که در روز جمعه ۶ آبان (۲۸ اکتبر) منتشر شده نشان میدهند که امارات متحده عربی سامانه دفاع هوایی از نوع "باراک ۸" را در نزدیکی پایگاه هوایی الظفره در جنوب ابوظبی مستقر کرده است
سخنگوی سابق دولت طی یادداشتی در واکنش به اتفاقات اخیر نوشت: دلارهای نظام سیاسی نظیر عربستان سعودی که پر از نفرت و کینه علیه ایران و تمدن ایرانی بودهاند و همچنین بازیهای اسراییل برای تشدید ایرانهراسی این بار برای پیش بردن اهداف سیاسی خود در منطقه و نیز تلاشهای پسپرده گروههایی که جز تفنگ و اسلحه زبان دیگری نمیشناسند را به خوبی میبینم.
وزیر امور خارجه در تماس تلفنی با همتای عمانی خود آخرین وضعیت خلیل دردمند حاجی ایرانی در مناسک حج امسال توسط ماموران عربستان سعودی بازداشت شده است را پیگیری کرد.
تیم فوتسال عربستان با نتیجه ۲ بر ۱ ژاپن را شکست داد و یک شگفتی در این مسابقات رقم زد.
عبدالعزیز بن سلمان آل سعود روز دوشنبه با ایراد سخنانی در کنفرانس عمومی آژانس بینالمللی انرژی اتمی از مدیرکل آژانس اتمی خواست تا به نظارت بر فعالیتهای اتمی ایران در چارچوب توافقنامه جامع پادمان ادامه دهد.
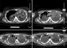
ارگان رسانه ای نزدیک به سپاه انتشار تصاویر مربوط به سی تی اسکن مهسا امینی را تایید کرد.
در بخشی از کتاب «صلابت سازندگی» که به همت زهرا سید روحانی منتشر شده به ماجرای میزبانی مرحوم هاشمی از رهبر انقلاب و رایزنی برای گرفتن طلب ایران از آمریکا اشاره شده است.