کد خبر: 139717
A

پاسخ متخصصین نرورادیولژی به استعلام رییس نظام پزشکی/ هیچ شواهدی از خونریزی مغزی در تصاویر سی‌تی‌اسکن «مهسا امینی» دیده نمی‌شود

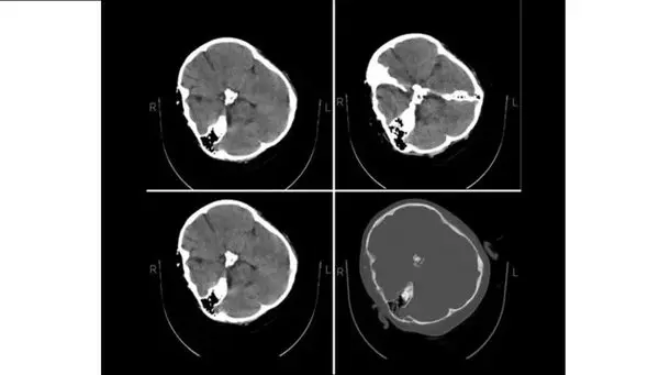
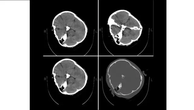
متخصصان نرورادیولژی هیأت بورد رادیولوژی وزارت بهداشت در پاسخ به استعلام ریاست سازمان نظام پزشکی درباره تصاویر «سی تی اسکن» منتشر شده از مرحوم مهسا امینی با انتشار بیانیه‌ای اعلام کردند که «هیچ شواهدی از خونریزی مغزی در این تصاویر به چشم نمی‌خورد.»

پاسخ متخصصین نرورادیولژی به استعلام رییس نظام پزشکی/ هیچ شواهدی از خونریزی مغزی در تصاویر سی‌تی‌اسکن «مهسا امینی» دیده نمی‌شود

به گزارش سایت دیده بان ایران؛ متخصصان نرورادیولژی هیأت بورد رادیولوژی وزارت بهداشت در پاسخ به استعلام ریاست سازمان نظام پزشکی درباره تصاویر «سی تی اسکن» منتشر شده از مرحوم مهسا امینی با انتشار بیانیه‌ای اعلام کردند که «هیچ شواهدی از خونریزی مغزی در این تصاویر به چشم نمی‌خورد.»

 در بیانیه متخصصین نرورادیولژی هیأت بورد رادیولوژی وزارت بهداشت که در پاسخ به استعلام ریاست نظام پزشکی صادر شده، آمده است: «با توجه به استعلام ریاست نظام پزشکی، متخصصین نرورادیولژی هیات بورد رادیولوژی وزارت بهدشت، پس از بررسی تصاویر سی‌تی اسکن مغز  مرحومه مهسا امینی اعلام می‌دارد در سی‌تی اسکن که به‌صورت فیلمبرداری از، مانیتور تهیه شده است، خونریزی در پارانشیم مغزی، خونریزی اپیدورال و سابدورال  دیده نمی‌شود.»

در این بیانیه که نسخه‌ای از آن در اختیار ایسنا قرار گرفته همچنین تاکید شده که «نظریه تکمیلی پس از مشاهده اصل اطلاعات تصویری ارسال خواهد شد.»

 

کانال رسمی دیدبان ایران در تلگرام

اخبار مرتبط

ارسال نظر