تغییر رنگ دندان ها
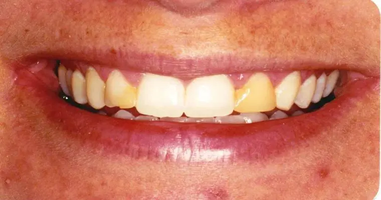
اگر فقط یکی از دندانهایتان دچار تغییر رنگ شده است، علت آن وارد شدن ضربه، پوسیدگی شدید یا درمان ریشه ناقص است.
- روشهای سفید کردن دو پایه اصلی دارند:
سفید کردن با وسایل و مواد ساینده نظیر انواع مسواکها، خمیر دندانها و پودرهای سفیدکننده این روشها جهت برداشت رنگیزههای موجود روی دندانها و پودرهای سفیدکننده استفاده میشود.
این روشها جهت برداشت رنگیزههای موجود روی دندانها در اثر موادی مثل چای، قهوه یا سیگار کارایی دارند و رنگ زمینهای دندان را تغییر نمیدهند.
سایندگی این مواد زیاد است و معمولا به لایه سطحی مینای دندان آسیب میرسانند و به هیچ وجه توصیه نمیشوند. در صورت تمایل به برداشت این رنگیزهها میتوان از جرم گیری و بروساژ دقیق و کاربرد بسیار کنترل شده مواد ساینده در مطب دندانپزشکی استفاده کرد تا همزمان با داشتن دندانهای روشنتر و تمیزتر به بافت با ارزش دندان آسیبی رسانده نشود.
بلیچینگ یا سفید کردن، بلیچینگ به معنای کاربرد موادی برای سفید کردن دندانها است بدون اینکه دندان را تراش دهیم. پایه اصلی این مواد آب اکسیژنه (یا هیدروژن پراکساید) میباشد که دارای مواد اکسیدکنندهای است که وارد تخلخلهای موجود در منشورهای مینای دندان میشود و باعث تجزیه و تخریب ذرات رنگی موجود در بافت عاجی میشود.
این مواد را میتوان به دو صورت کاربرد در مطب و کاربرد خانگی مورد استفاده قرار دارد.
- سفید کردن در مطب:
این درمان در کمتر از یک ساعت با استفاده از ژلهای سفیدکننده قوی و استفاده کمکی از منابع نوری نظیر LED یا لیزر میتواند دندانها را به میزان دو الی سه درجه سفید کند. استفاده از لیزر میتواند سرعت پروسه سفید کردن را تسریع کنند و بقای اثر آن را تا حدودی افزایش دهند.
اگر فقط یکی از دندانهایتان دچار تغییر رنگ شده است، علت آن وارد شدن ضربه، پوسیدگی شدید یا درمان ریشه ناقص است.
پس از انجام معالجه ریشه باید تمام مواد پرکننده و بافتهای اضافه از داخل تاج دندان تمیز شود. اگر این مواد باقی بمانند به مرور زمان موجب تغییر رنگ خاکستری یا قهوهای دندان میشوند.